Gentle Dental Care
for Your Family is Our
Priority at Shenton Park Family Dental
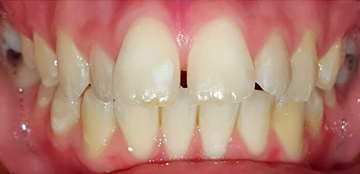
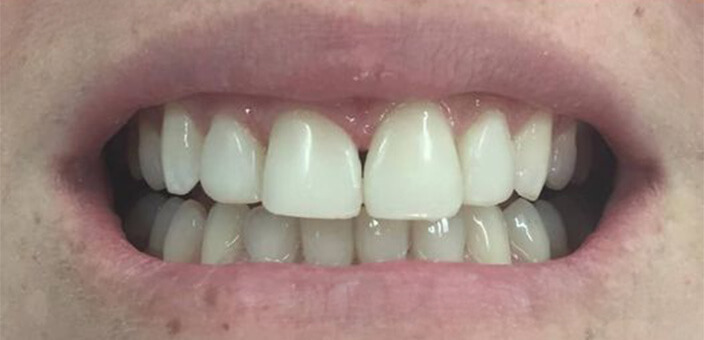
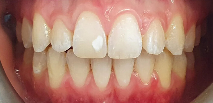
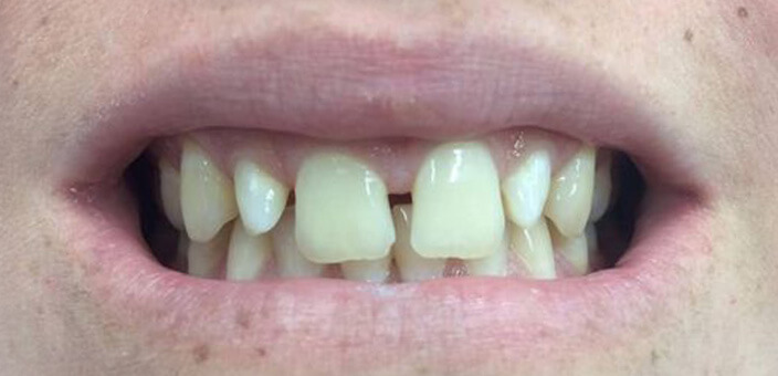
If you’re looking for a family dental practice that’s part of the local community, where our Shenton Park dentists and staff make you feel relaxed and welcomed, then you’ve found the right place. From the moment you walk through the door, to the moment you walk out, we want your experience at Shenton Park Family Dental to be unlike any other. We enjoy seeing patients of all ages and will treat you and your family as though you were part of ours.


